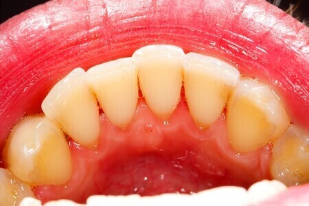
歯石を取り除くのはもちろん、コーヒーや紅茶、タバコなどで汚れてしまった歯の着色を専用の機器などを用いてきれいに取り除きます。また、歯の表面をコーティングするなどして、汚れの付きにくい歯、口臭の生じにくい健康な歯ぐきに整えていきます。
HOME ≫ 歯のクリーニング ≫
歯のクリーニング
cleaning
クリーニングの内容
| いつもキレイコース | スタンダードコース | エコノミーコース |
|---|---|---|
| サブスク型・月に1回 | サブスク型・2ヶ月に1回 | サブスク型・3ヶ月に1回 |
コースに応じて、基本料金に含まれいるもの、無料で選択可能なもの、有料オプションで選択可能なものが異なります。
| 内容 | |
|---|---|
| [処置]スケーリング(歯石除去) | 歯周病や虫歯の原因の歯石を超音波機器等で丁寧に除去 |
| [処置]フロッシング | 歯と歯の間の汚れを取り除く |
| [処置]PMTC(歯面清掃&研磨) | 専用パウダーで、お茶やヤニなど様々な着色や汚れを除去 |
| [処置]トリートメント | 汚れがつきにくくなるよう、歯の表面をツルツルに |
| [処置]舌クリーニング | 口臭予防のため、舌の苔を除去 |
| [処置]虫歯予防トリートメント | 歯質強化のため、リン酸カルシウムを含むCPP-ACPをパック |
| [処置]歯周病予防トリートメント | バイオフィルムに浸透するIPMP、浮遊細菌に対して優れた効果のあるCPCで、歯周病を効果的に予防 |
| [処置]フッ素コーティング +ナノアパタイトコート研磨 |
歯面修復効果のあるアパタイトと、歯周病&虫歯予防効果のあるフッ素のダブル効果 |
| [処置]歯ぐきマッサージ | 専用ジェルを用いたマッサージで、歯ぐきの血行を促進 |
| [検査]口臭検査 | 専用機器で口臭を測定 |
| [検査]口腔水分計による計測検査 | 口臭予防等のために、お口の乾燥度を専用機器で検査 |
| [処置]入れ歯の除菌、抗菌コート | 専用洗剤と超音波で、入れ歯をクリーニング |
| [検査]歯周精密検査 | 歯ぐきの歯周ポケットの深さ測定、プラーク付着度の測定など |
| [送付]各種ケア商品の定期送付 | 通常価格より割引、送料無料 |
クリーニングの流れ
-
-
歯ぐきの健康状態の確認
歯周ポケットの深さの測定など、歯ぐきの状態を検査します。
-
大きな歯石の除去
超音波スケーラーと呼ばれる機器を使って、水と微細な振動で家庭での歯磨きでは取り除けない歯石を除去します。
-
小さな歯石の除去
必要に応じて、ハンドスケーラーと呼ばれる器具を使って細かい歯石を取り除きます。
-
着色の除去
専用の機器を使ってパウダーや微細なウォータースプレーを歯の表面に噴射し、着色や歯垢を取り除きます。
-
フロッシング
フロス(糸)を使用して、歯と歯の間の歯垢を除去します。
-
トリートメント
専用のトリートメント剤を用いて、歯の表面をコーティングし、光沢を出します。これによって、歯垢や着色が付きにくくなります。



カウンセリング
患者さんが気になる箇所をうかがい、口腔内の汚れを確認します。また、ご本人が気づいていない汚れや歯石の沈着がある場合、鏡などで説明します。